Son haftalarda ülke genelinde solunum yolu enfeksiyonlarında ciddi artış yaşandığın ifade eden Göğüs Hastalıkları Uzmanı Prof. Dr. Şevket Özkaya, aynı anda görülen influenza (grip), kovid-19 ve RSV virüslerinin toplumda “3’lü salgın” etkisi oluşturduğunu belirterek vatandaşları dikkatli olmaları konusunda uyardı.
Prof. Dr. Özkaya, son dönemdeki hava şartlarına dikkat çekerek, “Sonbahar ve yaz karışımı bir iklimin etkisiyle gün içinde ani sıcaklık değişimleri yaşanıyor. Aynı gün içerisinde dört mevsimi birden yaşıyoruz. Bu durum bağışıklık sistemini zayıflatıyor ve grip benzeri şikayetlerle başlayan hastalık tabloları, üç farklı virüsün etkisiyle uzamış bir hal alıyor” dedi.
“Frankenstein varyantı Türkiye’de görüldü”
Kovid-19’un “Frankenstein varyantı” olarak adlandırılan yeni türünün Türkiye’de de görüldüğünü ifade eden Prof. Dr. Özkaya, “Mevcut hastalarımız içinde kritik veya hayatı tehdit eden bir tablo yok. Ancak bu varyantın bulaşıcılığının yüksek olduğunu ve Avrupa ile Asya’da hızlı bir şekilde yayıldığını biliyoruz” diye konuştu.
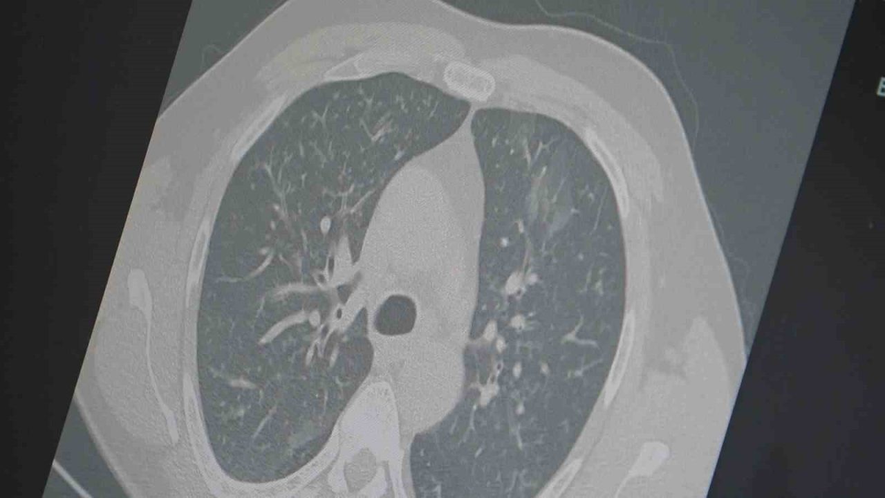
“Zatürre riskine dikkat”
Dr. Özkaya, grip ve kovid 19’un zatürreye dönüşme riski taşıdığını vurgulayarak, “Grip veya kovid sonrası birçok hastamızda hastalık akciğerlere iniyor ve zatürre olarak karşımıza çıkıyor. Hastaneye yatan hasta sayısında da artış gözlemliyoruz” şeklinde konuştu.
“Ayakta geçirilen ama bulaştırıcı bir salgın”
Salgının günlük hayatı aksatmadan ancak sinsi bir şekilde yayıldığını belirten Özkaya, “Grip ve kovid artık yatağa düşürecek kadar ağır seyretmese de günlük işlerimizi yapmayı zorlaştırıyor. Ne tam hasta ne de tam iyilik hali olmadan virüs toplumda dolaşmaya devam ediyor. Dinlenmeyen ve izolasyon uygulamayan vakalar bulaş zincirini sürdürüyor” ifadelerini kullandı.
Vatandaşlara uyarı
Prof. Dr. Özkaya, vatandaşlara şu önerilerde bulundu:
“En ufak grip benzeri şikayeti olan vatandaşlarımızın evlerinde dinlenmelerini öneriyoruz. Uzamış öksürük ve nefes darlığı yaşayanların ise mutlaka doktora başvurarak akciğer röntgeni çektirmeleri ve uygun tedaviyi almaları gerekiyor.”
SON HAFTALARDA ÜLKE GENELİNDE SOLUNUM YOLU ENFEKSİYONLARINDA CİDDİ ARTIŞ YAŞANDIĞIN İFADE EDEN GÖĞÜS HASTALIKLARI UZMANI PROF. DR. ŞEVKET ÖZKAYA, AYNI ANDA GÖRÜLEN INFLUENZA (GRİP), COVID-19 VE RSV VİRÜSLERİNİN TOPLUMDA “3’LÜ SALGIN” ETKİSİ OLUŞTURDUĞUNU BELİRTEREK VATANDAŞLARI DİKKATLİ OLMALARI KONUSUNDA UYARDI.

